2 Produkte für Ihre Suche nach «VIT-021N/Thiothrix»

VIT-021NThiothrix

VIT-021NThiothrix

Webseite Produkt
E-Mail senden
Anfrageformular
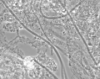
• VIT-021N/Thiothrix erlaubt den parallelen Nachweis von Eikelboom Typ 021N und Thiothrix direkt in Abwasserproben. Diese Bakterien werden in vielen Kläranlagen für das Auftreten von Blähschlamm verantwortlich gemacht. Mit Hilfe des...
Firma:

vermicon AG

Website Firma

VIT-021NThiothrix Schnellanalytik

VIT-021NThiothrix Schnellanalytik

Webseite Produkt
E-Mail senden
Anfrageformular
• Identifizierung und Quantifizierung von Eikelboom Typ 021N und Thiothrix-Filamenten mit unserem Testkit VIT-021N/Thiothrix. Beide Parameter werden ausgewiesen. Sie fungieren als Indikatororganismen für das Auftreten von...
Firma:

vermicon AG

Website Firma

Seite 1 von 1    
schließen