Informationen über Bioanalytik

Website Firma Webseite Produkt
Bioanalytik

Verwandte Produkte:

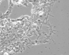
VIT-Haliscomenobacter Schnellanalytik

VIT-Haliscomenobacter Schnellanalytik

Webseite Produkt
E-Mail senden
Anfrageformular
• Identifizierung und Quantifizierung von Haliscomenobacter hydrossis Filamenten mit unserem Testkit VIT-Haliscomenobacter. Die dünnen Filamente von Haliscomenobacter hydrossis werden herkömmlich oft unterschätzt, da sie in dem...
Firma:

vermicon AG

Website Firma

Wasseranalytik

Wasseranalytik

Webseite Produkt
E-Mail senden
Anfrageformular
Für das Produkt "Wasseranalytik" der Firma "ORI-Abwassertechnik GmbH" liegt noch keine Beschreibung vor.
Firma:

ORI-Abwassertechnik GmbH

Website Firma

VIT-1851 Schnellanalytik

VIT-1851 Schnellanalytik

Webseite Produkt
E-Mail senden
Anfrageformular
• Identifizierung und Quantifizierung von Eikelboom Typ 1851 Filamenten mit unserem Testkit VIT-1851. Die Ergebnisse werden gemäß des VIT-Schlüssels ausgewiesen. Der Bericht enthält eine aussagekräftige Photodokumentation, die die...
Firma:

vermicon AG

Website Firma

ANORGANISCHEANALYTIK

ANORGANISCHEANALYTIK

Webseite Produkt
E-Mail senden
Anfrageformular
• Metalle und Halbmetalle sind seit den Kindertagen der analytischen Chemie die Klassiker, nicht zerstörbar sondern immer nur in der Umwelt verteilbar und wieder anreicherbar haben sei auch nach Jahrhunderten nichts von ihrer...
Firma:

Orga Lab GmbH

Website Firma

VIT-Microthrix Schnellanalytik

VIT-Microthrix Schnellanalytik

Webseite Produkt
E-Mail senden
Anfrageformular
• Identifizierung und Quantifizierung von Microthrix parvicella mit unserem Testkit VIT-Microthrix. Microthrix parvicella gilt als der wichtigste Schaum- und Schwimmschlamm verursachende fadenförmige Organismus in kommunalen...
Firma:

vermicon AG

Website Firma
  • Food

    Webseite Produkt
    E-Mail senden Anfrageformular
    VIT-Campylobacter • Fast and reliable detection of Campylobacter (# 01210019) • Campylobacter detection is gaining in industrial importance continously. Our VIT-Campylobacter unequivocally detects all three food relevant thermophi ....
     
  • Drinks

    Webseite Produkt
    E-Mail senden Anfrageformular
    • You have a sample you would like to have analysed? You would have a question about a service or a research project? Here you can order information about our or check for .
     
  • Services

    Webseite Produkt
    E-Mail senden Anfrageformular
    Services VIT-Profiling • Integrated microbiological consulting for industrial processes • Troubles in industrial processes have to be resolved as quickly as possible as they are able to cause extensive economic damage. Often the problem...
     

Analytik Glas

Analytik Glas

Webseite Produkt
E-Mail senden
Anfrageformular
Wegen der hohen Transparenz von Gläsern ist jede kleinste Inhomogenität sofort sichtbar. Die leichte Erkennbarkeit von Glasfehlern durch das menschliche Auge stellt deshalb hohe Anforderung an die Glasherstellung. Treten im...
Firma:

LLA Instruments GmbH

Website Firma

Labor Analytik

Labor Analytik

Webseite Produkt
E-Mail senden
Anfrageformular
Für das Produkt "Labor Analytik" der Firma "Messer Griesheim GmbH" liegt noch keine Beschreibung vor.
Firma:

Messer Griesheim GmbH

Website Firma

Boden- Abfallanalytik

Boden- Abfallanalytik

Webseite Produkt
E-Mail senden
Anfrageformular
• Das am 07.10.1996 in Kraft getretene Kreislaufwirtschafts- und Abfallgesetz (KrW-/AbfG) schreibt den Einstieg in die Kreislaufwirtschaft bei Produktion und Entsorgung mit dem Ziel der Schonung natürlicher Ressourcen und der...
Firma:

CBA GmbH

Website Firma
  • Sanierungsbegleitung

    Webseite Produkt
    E-Mail senden Anfrageformular
    • Sanierungs- oder Sicherungsmaßnahmen sind oft die notwendige Folge der Gefährdungsabschätzungen von Altstandorten und -ablagerungen zur akuten oder langfristigen Gefahrenabwehr, die von kontaminiertem Boden und Wasser ausgeht, oder...
     

Abwasserberatung -analytik

Abwasserberatung -analytik

Webseite Produkt
, • Erstellung wasserrechtlicher Genehmigungsunterlagen, • Infos über aktuelle Wassergefährdungsklassen, • Analyse und Bewertung von Rohabwasserströmen, • Erstellung und Führung Ihres Abwasserkatasters, • Kostenermittlung...
Firma:

IGS Industriepark Gersthofen Service GmbH & Co. KG

Website Firma

Photometrische Wasseranalytik

Photometrische Wasseranalytik

Webseite Produkt
E-Mail senden
Anfrageformular
NEW:NANOCOLOR® VIS more details. NEW:NANOCOLOR® VARIO 4 and VARIO C2
Firma:

Macherey-Nagel GmbH & Co. KG

Website Firma
schließen